🔪
⚕️ EXAME PRÉ-CIRÚRGICO: TAC PRÉ-OPERATÓRIO (Jan 2017) — Mostra a hérnia discal L4-L5 que motivou a discectomia — SEM implantes na cirurgia — Assintomático até 23/02/2023
📅 Indicação Pré-operatório — Hérnia discal L4-L5 com radiculopatia — Indicação para discectomia
🔬 Séries Coluna (Partes Moles) + Osso (Janela Óssea) + Topograma — TAC Axial 3.0mm com contraste IV
⚕️ Diagnóstico HÉRNIA DISCAL L4-L5 — TAC pré-operatório para planeamento da discectomia (sem implantes)
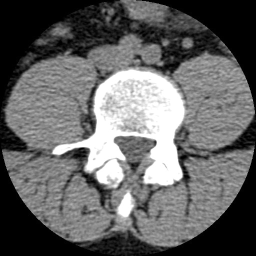
Coluna (Partes Moles) 33 / 60

🟡 RESUMO — TAC LOMBAR PRÉ-OPERATÓRIO HÉRNIA DISCAL L4-L5 (2017)

🏥 CONTEXTO CLÍNICO:

TAC lombar realizado em Janeiro de 2017 para diagnóstico pré-operatório de hérnia discal L4-L5 com radiculopatia. A cirurgia (discectomia L4-L5) foi realizada depois deste TAC, com remoção do fragmento de disco herniado sem colocação de implantes — sem fusão, sem parafusos, sem cage. Resultado cirúrgico: assintomático durante 6 anos, até ao acidente de 23/02/2023.

📋 ACHADOS NO TAC PRÉ-OPERATÓRIO:

1. 🔴 HÉRNIA DISCAL L4-L5 (CAUSA DA CIRURGIA):

Patologia discal ao nível L4-L5 com protusão/extrusão discal que comprime a raíz nervosa L4 ou L5. O TAC em janela de partes moles pode mostrar o material discal herniado como uma densidade de tecidos moles no canal raquídeo ou foramen neural. A hérnia discal com radiculopatia foi a indicação cirúrgica para discectomia.

2. 🟡 DISCARTROSE L4-L5 AVANÇADA:

Degenerescência discal avançada ao nível L4-L5 com redução de altura do espaço discal e possível esclerose subcondral dos pratos vertebrais. A discartrose avançada é a causa subjacente à formação da hérnia — o disco degenerado perde a capacidade de reter o núcleo pulposo que acaba por hernijar.

3. 🟣 ARTROSE FACETÁRIA L4-L5:

Alterações degenerativas das articulações facetárias bilaterais ao nível L4-L5, associadas à discartrose. A degenerescência combinada disco-facetária (espondilartrose) é muito comum ao nível L4-L5 e pode contribuir para a estenose foraminal associada à hérnia discal.

4. 🟢 ARCO POSTERIOR ÍNTEGRO (PRÉ-CIRÚRGICO):

Lâminas e arco posterior completamente íntegros — a hemilaminotomia de acesso cirúrgico ainda não foi realizada. Este TAC documenta a anatomia óssea normal PRÉ-operatória. A cirurgia posterior irá criar um pequeno defeito laminar de acesso ao canal raquídeo para remoção da hérnia.

📊 Por Série:

🟦 Coluna (Partes Moles) — 60 imagens

  • ATENÇÃO — Contraste IV: Aorta e artérias ilíacas muito hiperdensas (branco intenso) — NÃO são implantes metálicos
  • Nível L4-L5: Espaço discal com redução de altura + possível material herniado no canal
  • Canal raquídeo: Avaliar compressão da saco tecal pela hérnia discal
  • Foramens neurais L4-L5: Possível compressão foraminal da raíz L4 ou L5
  • Níveis adjacentes L3-L4 / L5-S1: Comparação com discos não operados

🦴 Osso (Janela Óssea) — 60 imagens

  • Altura discal L4-L5: Redução relativa comparando com L3-L4 — discartrose pré-cirúrgica
  • Pratos vertebrais: Possível esclerose subcondral por discartrose avançada
  • Facetas L4-L5: Artrose bilateral — espondilartrose associada à discartrose
  • Lâminas: ÍNTEGRAS bilateralmente — estado pré-operatório confirmado
  • Foramens: Avaliação da estenose foraminal associada à hérnia

📸 Topograma — 2 imagens

  • Vista AP: Sem hardware metálico confirmado — coluna lombar sem instrumentação
  • Vista Lateral: Pode mostrar redução da altura discal L4-L5 comparada com níveis adjacentes

🔗 RELEVÂNCIA PARA O ACIDENTE DE 2023:

Este TAC de Janeiro 2017 documenta a coluna lombar ANTES da discectomia L4-L5 — mostra a hérnia discal que foi a causa da cirurgia. Após a cirurgia (discectomia sem implantes), o doente ficou assintomático durante 6 anos. A fratura burst L1 em Fevereiro 2023 ocorreu 3 níveis ACIMA do nível previamente operado (L4-L5) — lesão INDEPENDENTE e completamente nova. O nível L1 nunca foi operado previamente. Na RM Lombar de Maio 2023, o nível L4-L5 pode mostrar alterações degenerativas avançadas (resultado da discartrose pré-existente e da discectomia realizada). Como NÃO foram colocados implantes metálicos na cirurgia, NÃO existem artefactos de instrumentação na RM de 2023.

🎨 Legenda:

Vermelho — Nível operado (L4-L5)
Azul — Anatomia vertebral normal
Roxo — Artrose facetária
Amarelo — Vascular (contraste) / Laminotomia
Verde — Níveis não operados